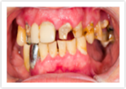
Dental Bridges
![]() |
![]() |
| Before Photo | After Photo |
Applied Procedures:
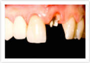
Dental Bridges
![]() |
![]() |
| Before Photo | After Photo |
Applied Procedures:
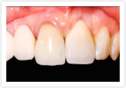
Dental Bridges
![]() |
![]() |
| Before Photo | After Photo |









