Dental Veneers
Applied Procedures:
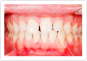
Dental Veneers
![]() |
![]() |
| Before Photo | After Photo |
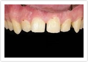
![]() |
![]() |
| Before Photo | After Photo |
Applied Procedures:
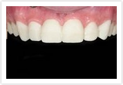
Dental Veneers
![]() |
![]() |
| Before Photo | After Photo |









